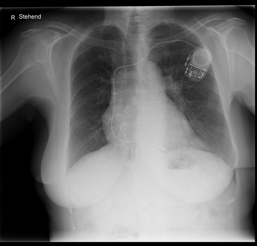
Radiologische Kontrolle von Herzschrittmachern und ICDs
Herzschrittmacher (SM) und implantierbare Cardioverter-Defibrillatoren (ICD) sind fester Bestandteil der Therapie von Herzrhythmusstörungen. Die Radiologie spielt dabei eine zentrale Rolle […]
Radiologische Kontrolle von Herzschrittmachern und ICDs ... weiterlesen

