02. Thorax

Pleuraerguss im Thoraxröntgen

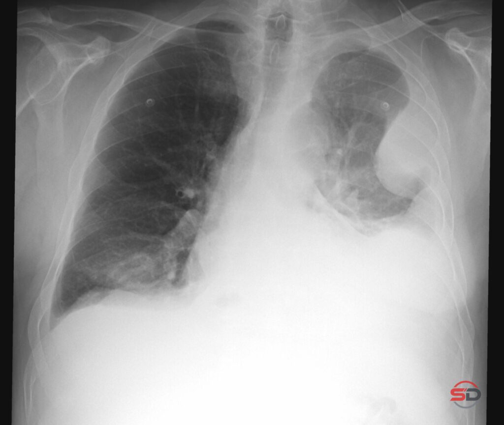
Pleuraerguss im Thoraxröntgen Der Pleuraerguss gehört zu den häufigsten Befunden in der konventionellen Thoraxdiagnostik. Im klinischen Alltag ist das Thoraxröntgen […]

Pleuraerguss im Thoraxröntgen ... weiterlesen