Organisierende Pneumonie Röntgenbild – OP/COP erkennen
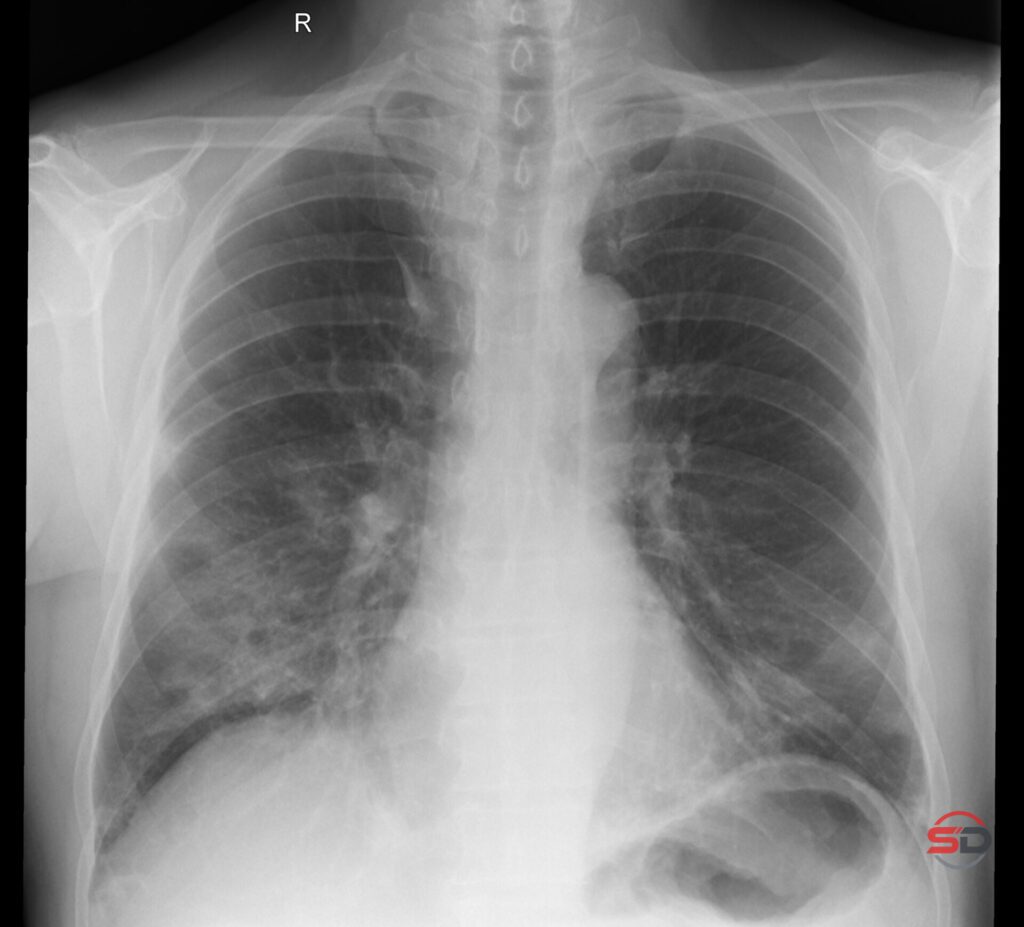
Die organisierende Pneumonie im Röntgenbild – was darf man sagen, was nicht? Die organisierende Pneumonie (OP) ist eine entzündliche Lungenerkrankung, […]
Organisierende Pneumonie Röntgenbild – OP/COP erkennen ... weiterlesen

