Pleuraerguss im Thoraxröntgen
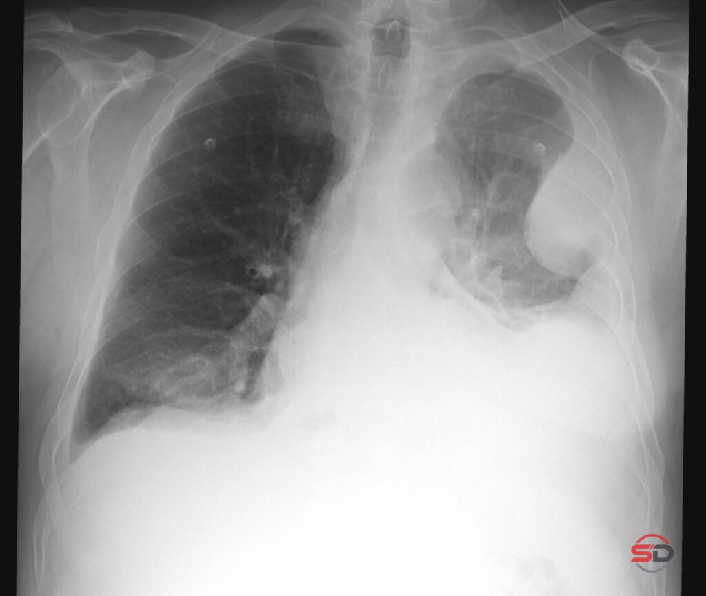
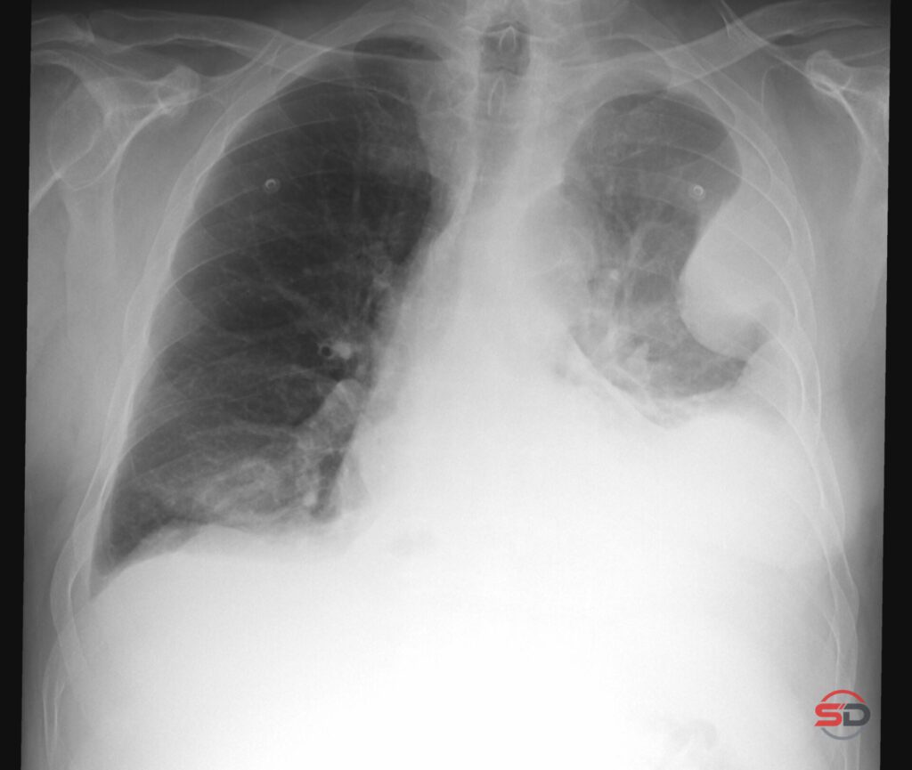
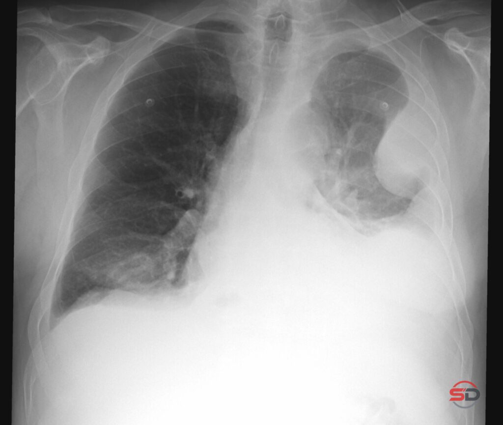
Pleuraerguss im Thoraxröntgen Der Pleuraerguss gehört zu den häufigsten Befunden in der konventionellen Thoraxdiagnostik. Im klinischen Alltag ist das Thoraxröntgen […]
Pleuraerguss im Thoraxröntgen ... weiterlesen

