Atelektase – Ursachen, Bildgebung und Differenzialdiagnose

Einleitung
Die Atelektase ist ein häufiger Befund in der Thoraxbildgebung. Sie bezeichnet den teilweisen oder vollständigen Kollaps eines Lungenabschnitts mit Verlust der Belüftung. Der Befund reicht von diskreten Plattenatelektasen bis zum kompletten Lappenkollaps.
Radiologisch ist es entscheidend, Atelektasen sicher zu erkennen und von anderen Verschattungen, insbesondere Infiltraten, zu unterscheiden. Dahinter können sich harmlose Ursachen, aber auch zentrale Tumoren oder relevante Infektionen verbergen. Dieser Beitrag bietet einen strukturierten Überblick für Ausbildung und Praxis.
Was ist eine Atelektase?
Unter Atelektase versteht man den Zusammenfall von Lungengewebe mit Verlust der Luftfüllung. Betroffen sein können einzelne Segmente, Lappen oder ein gesamter Lungenflügel. Das kollabierte Parenchym zeigt eine Volumenabnahme, zieht angrenzende Strukturen mit sich und verändert die Thoraxgeometrie.
Klinisch kann eine Atelektase mit Dyspnoe, Husten, Hypoxie oder Fieber einhergehen. Häufig wird sie jedoch auch zufällig im Thoraxröntgen entdeckt, zum Beispiel präoperativ oder im Rahmen von Verlaufskontrollen.
Ursachen und Pathophysiologie
Atelektasen entstehen durch Störungen der Ventilation oder durch äussere Kompression. Zu den wichtigsten Ursachen gehören:
- Obstruktion der zentralen Atemwege: Tumoren, Schleimpropfe, Fremdkörper oder entzündliche Schleimhautödeme blockieren das Lumen eines Bronchus. Die distal gelegene Luft wird resorbiert, das Volumen nimmt ab.
- Postoperative Hypoventilation: Schmerzen, Schonatmung und Immobilität begünstigen sekretbedingte Ventilationsstörungen, insbesondere basale Plattenatelektasen.
- Kompression von aussen: Grosse Pleuraergüsse, Pneumothorax, Hämatothorax oder raumfordernde Läsionen drücken das Lungengewebe zusammen.
- Narben- und Strahlenfibrose: Chronische Entzündungen oder Strahlentherapie führen zu fibrotischer Schrumpfung und sekundärer Atelektase.
Typen der Atelektase
In der radiologischen Praxis haben sich vier Haupttypen etabliert:
- Resorptionsatelektase: entsteht durch bronchiale Obstruktion, typisch bei zentralen Tumoren oder Schleimproppen. Distal resorbiert sich die Luft, das Lungenvolumen nimmt deutlich ab.
- Kompressionsatelektase: wird durch äussere Druckeinwirkung verursacht, zum Beispiel bei grossen Pleuraergüssen oder gespanntem Pneumothorax.
- Platten- oder lamelläre Atelektase: dünne bandförmige Verschattungen entlang der Lappenspalten oder Pleura. Sie treten häufig postoperativ, bei Hypoventilation oder Sekretstau auf.
- Narbenatelektase: Folge fibrotischer Schrumpfung nach Entzündung, Infarkt oder Strahlentherapie.
Radiologische Zeichen der Volumenabnahme
Das zentrale Merkmal jeder Atelektase ist die Volumenminderung des betroffenen Areals. Daraus ergeben sich typische Bildzeichen:
- Verziehung der Lappenspalten in Richtung des kollabierten Bereichs
- Verlagerung von Mediastinum und Hilus auf die betroffene Seite
- Elevation des ipsilateralen Zwerchfells
- Überblähung der Nachbarlappen als Kompensation
- homogene, meist scharf begrenzte Verschattung entlang anatomischer Grenzen
Diese Zeichen helfen, Atelektasen von Volumenzunahmen, etwa bei Infiltraten oder Raumforderungen, zu unterscheiden.
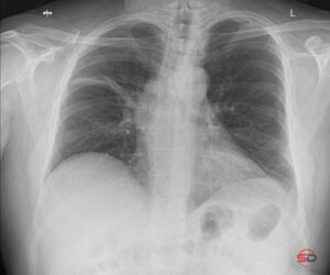
Atelektase im Thoraxröntgen
Im konventionellen Thoraxröntgen zeigen sich Atelektasen je nach Lokalisation sehr unterschiedlich. Ein Oberlappenkollaps kann sich als keilförmige Verdichtung mit Aufwärtsverlagerung der Fissur präsentieren, während basale Plattenatelektasen als horizontale oder schräge, bandförmige Verschattungen sichtbar werden.
Wichtig ist die systematische Beurteilung: Verlauf der Lappenspalten, Stellung des Hilus, Mediastinum, Zwerchfellkuppe und Rippenabstände sollten konsequent verglichen werden. Auch eine schlechte Inspiration kann den Eindruck einer Atelektase vortäuschen und muss erkannt werden.
Atelektase in der CT-Diagnostik
Die Computertomographie bietet eine deutlich bessere anatomische Darstellung. Sie zeigt Verdichtungen, Bronchusverläufe und angrenzende Strukturen in mehreren Ebenen. Bei Resorptionsatelektasen lässt sich die Obstruktionsursache häufig direkt identifizieren.
Kontrastmittelverstärkte CT-Untersuchungen des Thorax sind bei unklaren oder suspekten Atelektasen ein zentraler Baustein der Abklärung. Sie ermöglichen die Unterscheidung zwischen Tumor, Schleimpropf, Narbenzug und extrinsischer Kompression.
Unterschied Atelektase versus Infiltrat
Gerade im klinischen Alltag ist die Abgrenzung zur Pneumonie entscheidend, da sich beide als Verdichtung im Röntgenbild zeigen können.
| Atelektase | Infiltrat |
|---|---|
| Volumenabnahme des betroffenen Areals | Volumenzunahme oder unverändertes Volumen |
| Verziehung der Lappenspalten | Fissuren meist unverändert |
| Mediastinal- und Hilusverlagerung möglich | Keine relevante Mediastinalverschiebung |
| Homogene, strukturierte Verschattung | Heterogene Konsolidierung, Bronchopneumogramm möglich |
In der Praxis spricht eine deutliche Volumenminderung mit Fissurverzug stark für eine Atelektase. Fehlt dieses Zeichen, sollte ein Infiltrat oder eine andere Raumforderung erwogen werden.
Praxis-Tipps für die Befundung
- Immer systematisch vorgehen: Skelett, Lappenspalten, Hilus, Mediastinum, Zwerchfell, Lungenfelder.
- Seitendifferenzen der Rippenabstände und Zwerchfellkuppe beachten.
- Kleine Plattenatelektasen nicht übersehen, insbesondere bei postoperativen oder immobilen Patienten.
- Unklare oder persistierende Atelektasen immer weiter abklären, idealerweise mit CT.
Fazit
Atelektasen gehören zu den wichtigsten strukturellen Befunden in der Thoraxradiologie. Sie sind Ausdruck einer Volumenabnahme und zeichnen sich durch charakteristische Zeichen wie Fissurverlagerung, Mediastinalverschiebung und Überblähung der Nachbarareale aus.
Die sichere Differenzierung zur Pneumonie und zu anderen Konsolidierungen ist zentral, da dahinter klinisch relevante Ursachen stehen können, insbesondere zentrale Tumoren oder relevante Ventilationsstörungen. Eine konsequent systematische Bildanalyse und der gezielte Einsatz der CT sichern die Diagnose und helfen, therapeutische Entscheidungen zu unterstützen.
Literatur
- Radiopaedia.org – Atelectasis: Imaging features und Fallbeispiele.
- The Radiology Assistant – Chest X-Ray: Atelectasis.
- American Thoracic Society – Educational resources: Atelectasis and lung collapse.
- Medscape – Atelectasis Overview: Clinical features and management.
