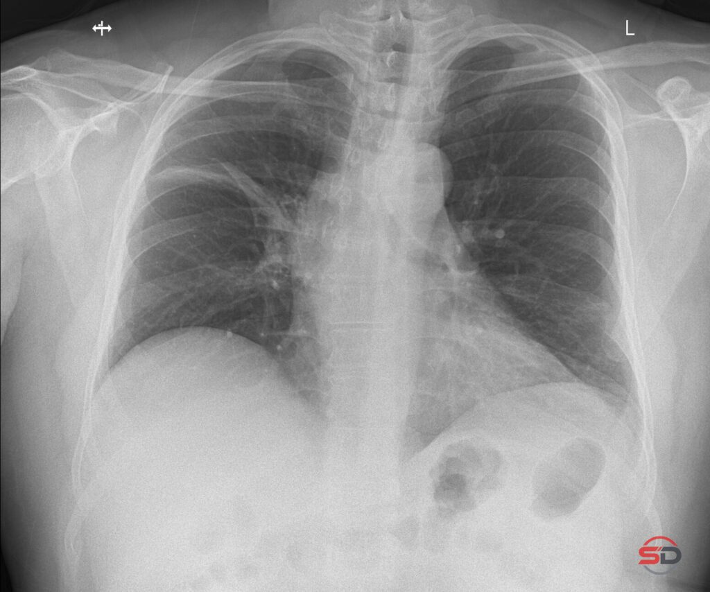
Wie zuverlässig sind Grössenmessungen im Thoraxröntgen?
Das konventionelle Thoraxröntgen gehört zu den am häufigsten durchgeführten radiologischen Untersuchungen. Neben der Beurteilung des Lungenparenchyms, der Mediastinalstrukturen und des […]
Wie zuverlässig sind Grössenmessungen im Thoraxröntgen? ... weiterlesen





