Pleuritis calcarea: Ursachen, Bildgebung und Therapie

Was ist eine Pleuritis calcarea?
Unter Pleuritis calcarea versteht man eine chronische pleurale Veränderung mit ausgeprägten pleuralen Plaques und Verkalkungen. Sie ist nicht die akute Pleuritis selbst, sondern deren Spätfolge: Nach durchgemachter Entzündung, Erguss oder chronischer Reizung der Pleura kommt es zu Narbenbildung, Plaqueformation und später zu Kalzifikationen.
Radiologisch zeigt sich dies als:
- geographische, band- oder plaqueförmige Verdickungen entlang der Brustwand,
- diaphragmatische, lanzettenförmige Verkalkungen,
- ggf. ausgeprägte Volumenminderung des betroffenen Hemithorax (Fibrothorax).
Die Pleuritis calcarea ist damit weniger eine akute Diagnose als eine strukturelle pleurale Endstadium-Konstellation.
Ursachen und Risikofaktoren
Asbestexposition als Leitauslöser
Die wichtigste Ursache der Pleuritis calcarea ist eine frühere Asbestexposition. Asbestfasern lagern sich in Lunge und Pleura ab und führen zu wiederkehrenden Reizungen und Entzündungen. Im Verlauf entstehen pleurale Plaques, die im Laufe der Jahre häufig verkalken. Besonders typisch sind:
- posterolaterale pleurale Plaques,
- diaphragmatische Verkalkungen,
- bilaterale, asymmetrische Befallsmuster.
Weitere Ursachen pleuraler Verkalkungen
Neben der Asbestexposition kommen auch andere Ursachen in Betracht:
- alte tuberkulöse Pleuritis,
- überstandenes Empyem oder komplexe parapneumonische Ergüsse,
- posttraumatische oder posthämorrhagische Pleuraveränderungen.
Diese Ursachen sind insgesamt seltener. Ein stark pleuraplaquedominiertes Muster mit diaphragmatischer Beteiligung ist jedoch besonders verdächtig auf eine Asbestexposition.
Radiologische Bildgebung der Pleuritis calcarea
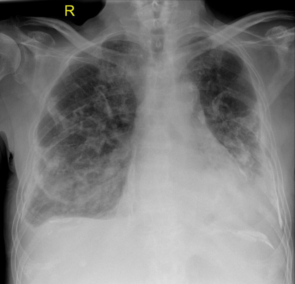
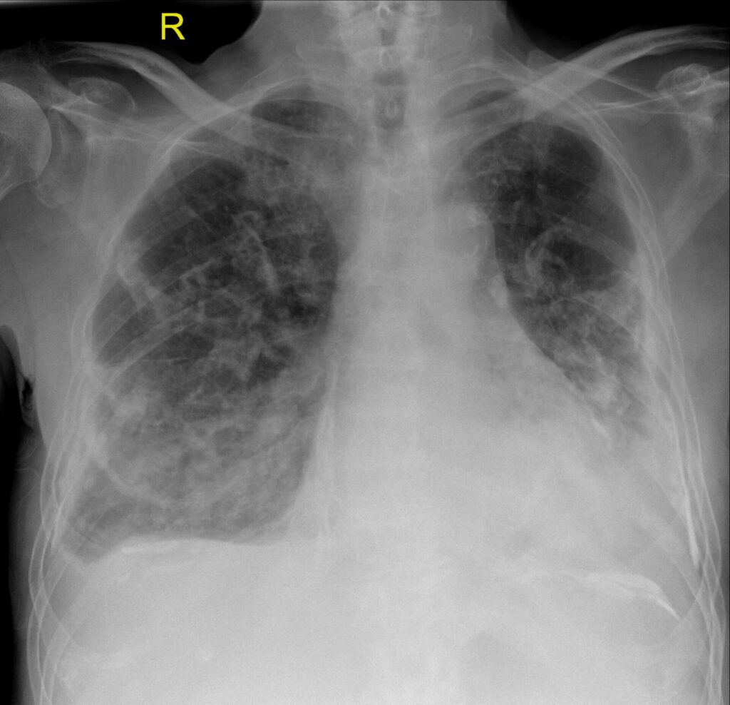
Röntgen-Thorax
Der Röntgen-Thorax ist häufig die erste Untersuchung. Typische Zeichen einer Pleuritis calcarea sind:
- lineare oder flächige, scharf begrenzte Pleuraverkalkungen entlang der Thoraxwand,
- verkalkte pleurale Plaques im diaphragmalen Bereich, meist lanzettenförmig,
- links oder rechts betonte, teils bilaterale Befallsmuster,
- Volumenminderung mit Zwerchfellhochstand und Verziehung der Thoraxkontur (Fibrothorax),
- ggf. basale streifige Verdichtungen, die sekundäre Atelektasen widerspiegeln.
Ein wichtiges radiologisches Problem ist die Abgrenzung von chronisch organisierter Pleura gegenüber einem noch bestehenden, teils verkapselten Erguss. Hier stösst das p.a.-Röntgen an seine Grenzen.
CT und ILO-Klassifikation
Die Computertomographie erlaubt eine deutlich genauere Beurteilung:
- Lokalisation, Dicke und Ausdehnung pleuraler Plaques,
- Unterscheidung zwischen umschriebenen Plaques und diffuser Pleuraverdickung,
- Nachweis einer Rundatelektase mit charakteristischem „Kometenschweif“-Zeichen,
- Beurteilung des Lungenparenchyms auf Zeichen einer Asbestose (subpleurale Fibrose, basale Retikulation).
Für die standardisierte radiologische Beurteilung von Pneumokoniosen und pleuralen Asbestfolgen existiert die ILO-Klassifikation.
Sie beschreibt unter anderem:
- Ort und Ausdehnung pleuraler Plaques (Brustwand, diaphragmal, mediastinal),
- Dicke und Verkalkungsgrad,
- Vorliegen diffuser Pleuraverdickung oder Fibrothorax,
- Begleitzeichen wie Verziehung des Kostophrenischen Winkels.
Klinische Konsequenzen und Differenzialdiagnosen
Funktionelle Auswirkungen
Eine Pleuritis calcarea kann lange asymptomatisch bleiben. Klinisch relevant wird sie vor allem, wenn sie mit einer diffusen Pleuraverdickung und einem Fibrothorax einhergeht. Typische Folgen sind:
- restriktive Ventilationsstörung,
- Belastungsdyspnoe, reduzierte körperliche Leistungsfähigkeit,
- erhöhte Anfälligkeit für Infekte in den volumeingeschränkten Lungenabschnitten.
Differenzialdiagnosen pleuraler Verkalkungen
Radiologisch müssen folgende Konstellationen abgegrenzt werden:
- postinfektiöse Pleuraverkalkungen nach Empyem oder Parapneumonie,
- tuberkulöse Restpleuritis mit Verkalkungen,
- Pleurametastasen oder primäre Tumoren mit fokalen Verkalkungen (selten),
- nicht verkalkte diffuse Pleuraverdickung ohne klare Asbestanamnese.
Die Kombination aus typischem Muster, Latenzzeit und beruflicher Anamnese ist hier entscheidend.
Therapie, Monitoring und arbeitsmedizinische Aspekte
Diagnostischer und therapeutischer Ansatz
Die Pleuritis calcarea selbst ist keine akut zu therapierende Entzündung, sondern Ausdruck einer chronisch narbigen Pleuraerkrankung. Wichtige Schritte sind:
- genaue Erhebung der Berufs- und Expositionsanamnese,
- funktionelle Diagnostik (Spirometrie, Bodyplethysmographie),
- Sonographie und CT bei unklarer Ergussfrage oder Verdacht auf Malignität,
- symptomorientierte Therapie (Atemphysiotherapie, Training, ggf. Sauerstoffgabe).
Bei neu aufgetretenen Ergüssen, thorakalen Schmerzen oder Gewichtsverlust ist eine weiterführende onko-pulmonologische Abklärung notwendig. Hintergrund ist das erhöhte Risiko für Pleuramesotheliom und Lungenkarzinom bei Asbestexposition, insbesondere bei zusätzlichem Nikotinkonsum.
Arbeits- und sozialmedizinische Bedeutung
Bei gesicherter Asbestexposition und typischen pleuralen Plaques sollte an eine mögliche Berufskrankheit gedacht werden.
Eine sorgfältige Dokumentation von Exposition, Latenzzeit und radiologischen Befunden ist wichtig, um Betroffene korrekt beraten und an zuständige Stellen melden zu können.
Fazit
Die Pleuritis calcarea ist ein charakteristischer radiologischer Befund und oft Folge einer Asbestexposition. Verkalkte pleurale Plaques, insbesondere mit diaphragmaler Beteiligung und Fibrothorax, sind typische Zeichen. Auch im Zeitalter moderner Schnittbildgebung bleibt der Röntgen-Thorax ein zentraler Baustein zur Erkennung pleuraler Asbestfolgen. Entscheidend ist die Kombination aus Bildgebung, Anamnese und funktioneller Diagnostik – und das Bewusstsein dafür, dass pleurale Verkalkungen nicht nur ein radiologischer Zufallsbefund, sondern ein Marker für eine potenziell relevante Exposition und ein erhöhtes Risikoprofil sein können.
Literatur
- Van de Loo MF et al. Pleural plaques as markers of asbestos exposure: prevalence and morphology in CT and chest radiography. Eur Radiol. 2016;26(6):1833–1841. DOI:10.1007/s00330-015-3893-7.
- Roggli VL et al. Pathology of Asbestos-Associated Diseases. 3rd ed. Springer; 2020.
- International Labour Office (ILO). Guidelines for the use of the ILO international classification of radiographs of pneumoconioses. Revised edition 2011.
- Dory C et al. Pleural thickening and other thoracic manifestations of asbestos exposure: correlation of structural changes with pulmonary function. AJR Am J Roentgenol. 2021;217(5):1193–1201. DOI:10.2214/AJR.20.23079.
