SK 232 31. Oktober 2025 Sie müssen sich anmelden, um diesen Inhalt einsehen zu können. Bitte Anmelden. […] SK 232 ... weiterlesen
SK 056 31. Oktober 2025 Sie müssen sich anmelden, um diesen Inhalt einsehen zu können. Bitte Anmelden. […] SK 056 ... weiterlesen
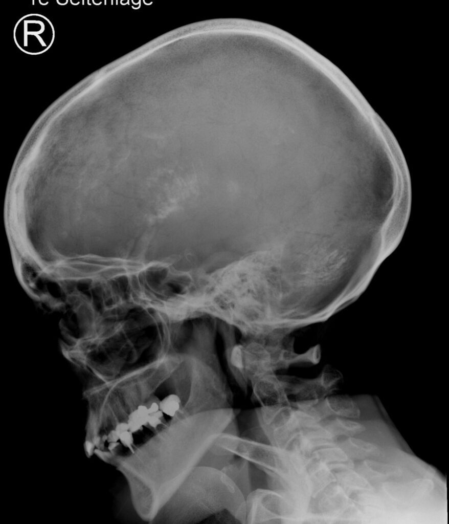
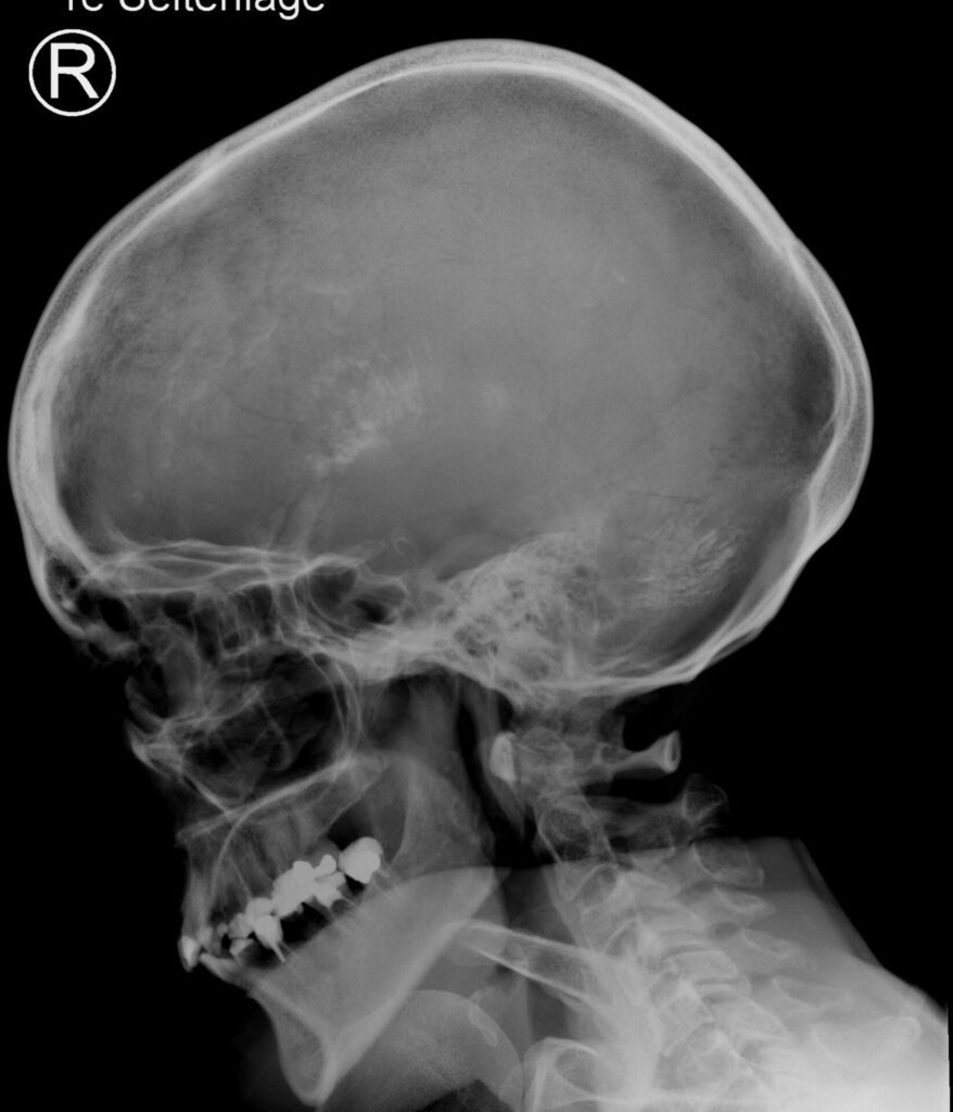
SK 278 19. Juni 2025 Sie müssen sich anmelden, um diesen Inhalt einsehen zu können. Bitte Anmelden. […] SK 278 ... weiterlesen