UE 729 2. Januar 2026 Sie müssen sich anmelden, um diesen Inhalt einsehen zu können. Bitte Anmelden. […] UE 729 ... weiterlesen
UE 756 31. Dezember 2025 Sie müssen sich anmelden, um diesen Inhalt einsehen zu können. Bitte Anmelden. […] UE 756 ... weiterlesen
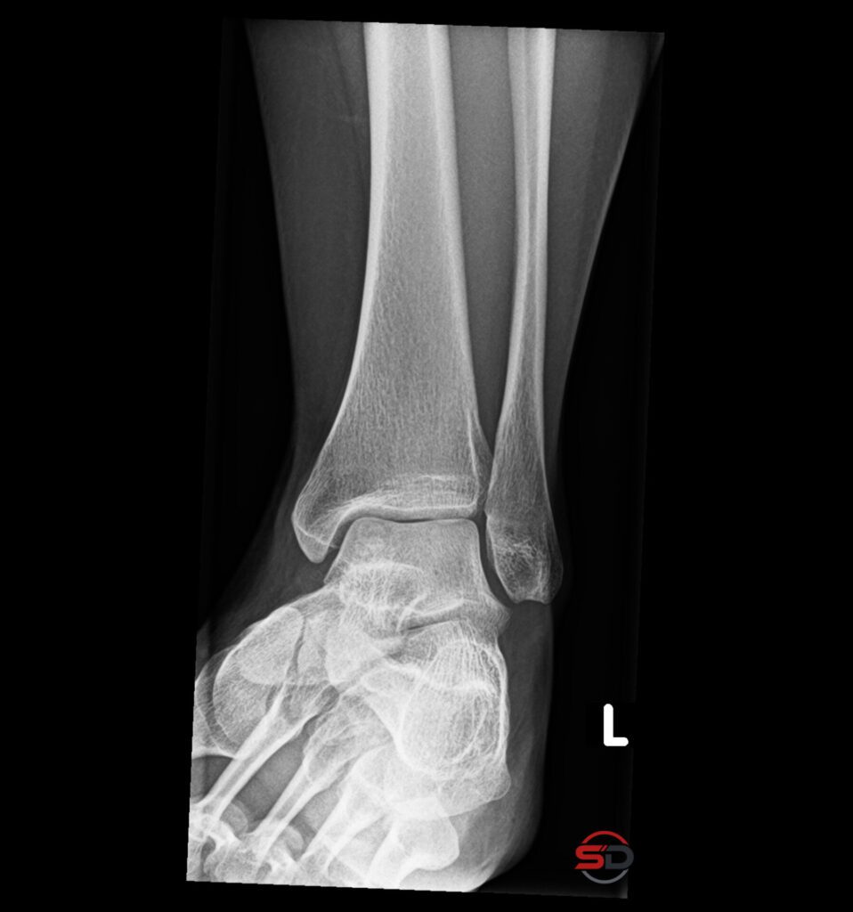
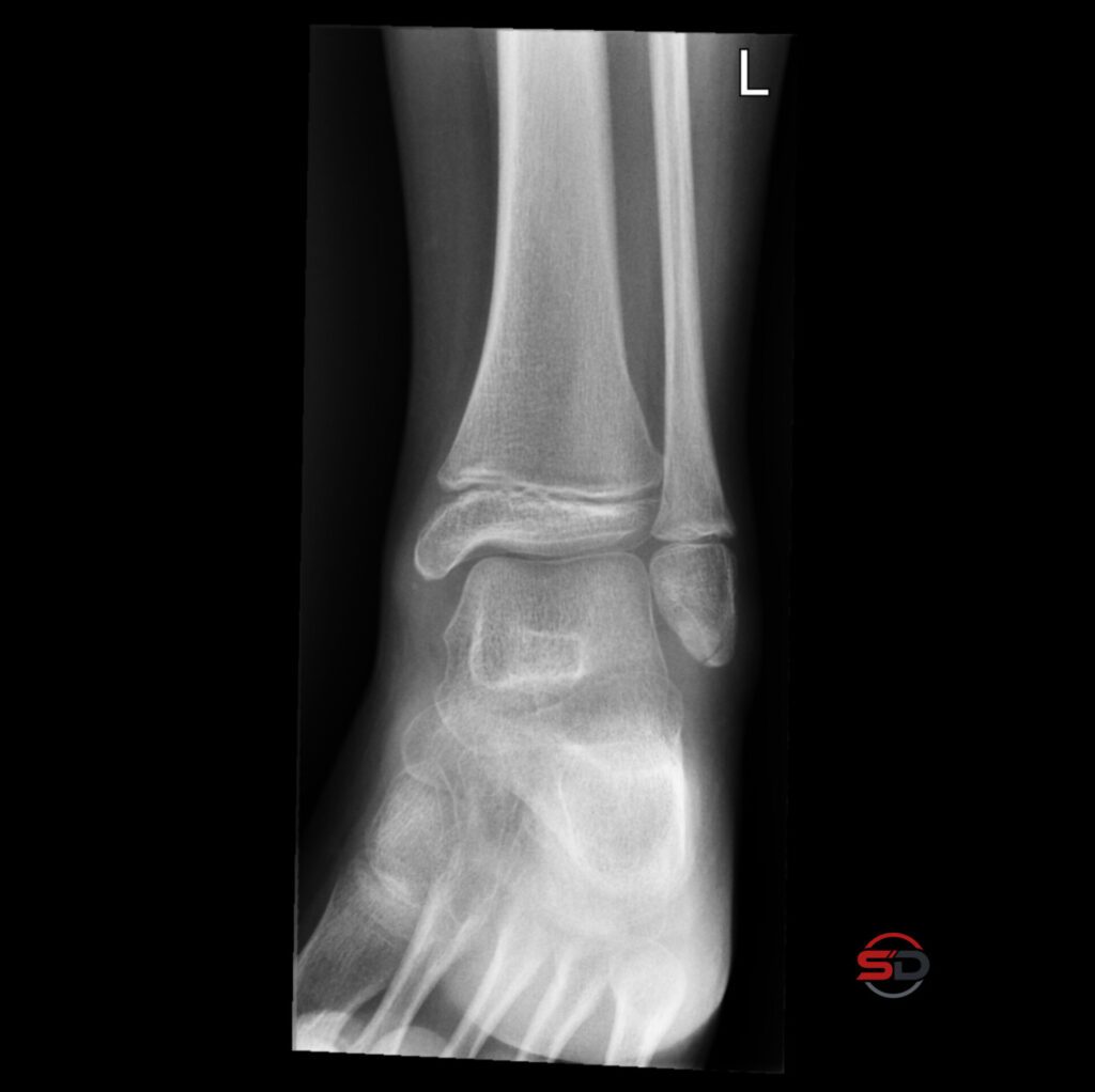
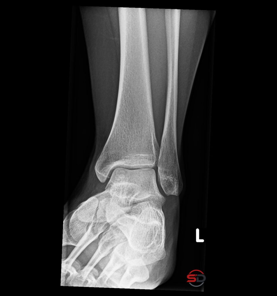
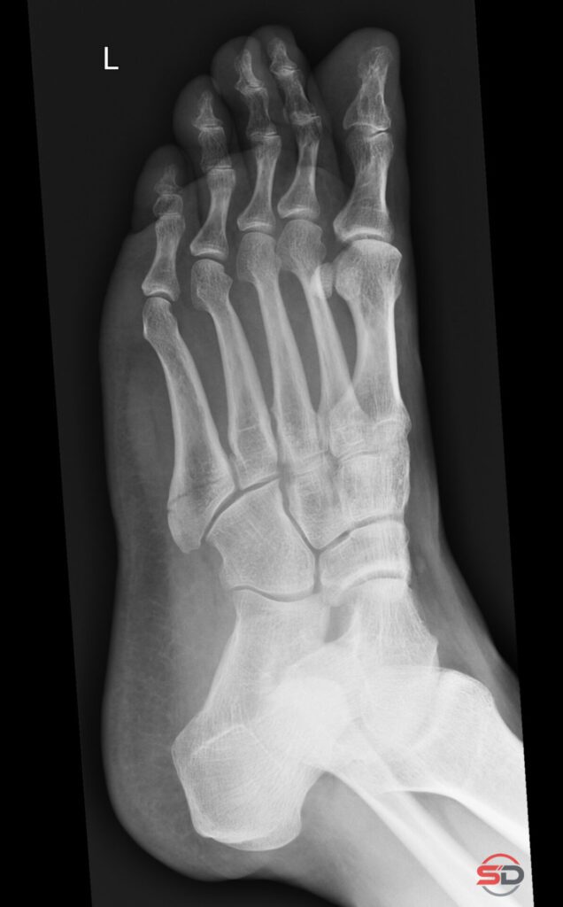
UE 785 27. Dezember 2025 Sie müssen sich anmelden, um diesen Inhalt einsehen zu können. Bitte Anmelden. […] UE 785 ... weiterlesen
UE 854 25. Dezember 2025 Sie müssen sich anmelden, um diesen Inhalt einsehen zu können. Bitte Anmelden. […] UE 854 ... weiterlesen