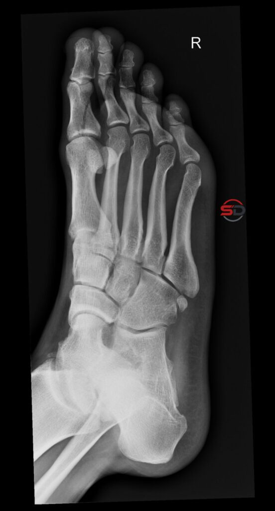
Akzessorische Knöchelchen: Wenn die Synchondrose zum Problem wird
Akzessorische Knöchelchen: Wenn die Synchondrose zum Problem wird Akzessorische Knöchelchen sind eine häufige Normvariante am Fuss und am oberen Sprunggelenk. […]
Akzessorische Knöchelchen: Wenn die Synchondrose zum Problem wird ... weiterlesen

