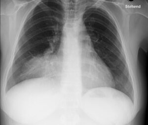
Das Silhouettenzeichen ist ein grundlegendes diagnostisches Prinzip in der konventionellen Thoraxradiologie. Es beschreibt den Verlust der normalerweise klar erkennbaren Grenze zwischen zwei anatomischen Strukturen gleicher Dichte. Dieses Phänomen hilft dabei, pathologische Veränderungen exakt zu lokalisieren und ist besonders bei der Beurteilung von Pneumonien, Raumforderungen und Atelektasen von großer Bedeutung.

Anatomische Grundlage
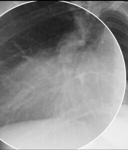
Im Röntgenbild entstehen Konturen durch die Dichteunterschiede zwischen angrenzenden Strukturen. Wenn zwei Strukturen die gleiche Röntgendichte besitzen und ohne luftgefüllte Grenzfläche direkt aneinander liegen, verschwinden ihre Konturen.
Merksatz: Keine sichtbare Grenze = gleiche Dichte + direkte Berührung.
- Luft gefüllte Lunge vs. weichteildichtes Herz → klare Grenze
- Weichteildichte Infiltration angrenzend an Herz → Grenze aufgehoben (Silhouettenzeichen)
Klinische Bedeutung
Das Silhouettenzeichen erlaubt die anatomische Lokalisation einer Pathologie im Thorax anhand des Konturenverlustes:
| Verlorene Struktur | Hinweis auf Pathologie in |
|---|---|
| Rechter Herzrand | Mittellappen (rechter Mittellappen) |
| Linker Herzrand | Lingula |
| Diaphragma rechts | Rechter Unterlappen |
| Diaphragma links | Linker Unterlappen |
| Aorta ascendens | Rechter Oberlappen (anteriore Segmente) |
| Aortenbogen | Linker Oberlappen |
Bildbeispiele und typische Befunde
Pneumonie
Eine Mittellappenpneumonie führt zur Aufhebung des rechten Herzrandes, da die entzündliche Infiltration denselben Weichteildichtekontrast wie der rechte Vorhof besitzt.

Atelektase
Auch eine Atelektase kann das Silhouettenzeichen erzeugen, zeigt jedoch oft zusätzliche Zeichen wie Fissurenverlagerung oder Volumenminderung.
Lokalisation bei unklarer Verschattung
Wird ein pathologischer Schatten auf einem Thoraxbild beobachtet, kann das Silhouettenzeichen helfen, zwischen Mittellappen- und Unterlappenprozessen zu unterscheiden.
Praktische Anwendung
- Beobachten der Herz- und Zwerchfellkonturen
- Identifizieren fehlender Grenzlinien
- Zuweisen der Pathologie zum entsprechenden Lungenlappen
- Bei Unsicherheit: Lateralaufnahme oder CT erwägen
Wichtige Merksätze
- Herzrand unscharf → Mittellappen oder Lingula
- Zwerchfell unscharf → Unterlappen
- Lokalisation ist das Kernziel des Silhouettenzeichens
- Lateralaufnahme bestätigt die Ebene
Literatur
- Felson B. Principles of Chest Roentgenology
- Walker CM et al. The Radiology of Pneumonia
- ACR Appropriateness Criteria®: Imaging of Chest Symptoms
- European Thoracic Imaging Guidelines
